The new health era
Vessel Vision is building AI-first tools for accessible, accurate, and fast medical diagnosis — starting with BoneScan X.
Backed by leading institutions, innovators, and researchers.
Our Services
BonescanX Launching Soon
We build AI solutions that assist doctors in fast, accurate medical diagnostics
Fracture Detection & Localization
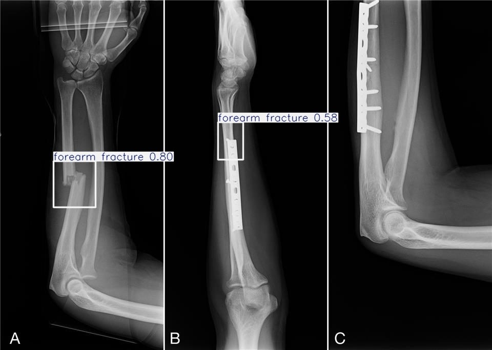
Detect Fractures in Real-Time
Analyze X-rays in real-time to detect fractures and highlight them with Box
Upload X-ray
See Demo
Diagnostic Assistant
Assist Radiologists with AI
Flag potential fracture zones and generate visual overlays to assist radiologists during diagnosis.
Fracture Map
Visual Overlay
Annotation
Patient-Centric AI
Support Remote Diagnosis
Enable healthcare workers in rural or underserved areas to make accurate decisions without a radiologist present.
Telemedicine
Offline Access
Learn More
Custom Projects
Our Process
Our Medical AI Development Process
We build AI tools that assist doctors in diagnosis, imaging, and healthcare automation.
Step 1
Medical Data Assessment
We analyze medical and clinical data to identify diagnostic needs and define AI goals.
Scanning patient X-rays for AI insights...
X-ray Scan Imported
Patient Case Analyzed
Fracture Detection Started
AI Overlay Generation
Report Prepared
Step 2
AI Development
We build deep learning models for fracture detection using custom YOLOv8 and Grad-CAM for best result and great accuracy.
Step 3
Clinical Integration
We integrate AI into radiology workflows and ensure compatibility with hospital systems.
BoneScanX
Your stack
Step 4
Real-Time Insights & Feedback
We monitor AI in real-world use, collect feedback, and optimize for higher accuracy.
Chatbot system
Efficiency will increase by 20%
Workflow system
Update available..
Sales system
Up to date
Clinical Impact
See How Medical AI Transforms Healthcare
Explore how our AI improves diagnosis, speeds up treatment, and supports doctors.
Benefits
How BoneScan X Enhances Medical Diagnosis
See how AI-assisted diagnosis improves accuracy, speeds up treatment, and supports healthcare teams everywhere.
Faster Diagnosis
AI detects fractures in under 5 seconds, saving valuable time in emergency and rural healthcare settings.
Radiologist Support
Acts as a second opinion, helping radiologists focus on critical cases with AI-verified overlays.
24/7 Diagnostic Access
AI can be deployed in clinics or camps, running nonstop to assist diagnosis even without specialists.
Lower Diagnostic Costs
Reduces dependency on high-cost infrastructure, enabling faster triage at a fraction of the cost.
Explainable AI Insights
Provides visual Grad-CAM overlays to explain diagnosis and build clinical trust.
Scalable in Any Setting
Works across clinics, hospitals, and mobile devices — scalable for public health use.
Pricing
Flexible Plans for Every Medical Setup
Start using BoneScan X with a plan tailored to your clinic, hospital, or outreach program.
Testimonials
Why Doctors & Hospitals Trust BoneScan X
Trusted by clinicians and innovators improving diagnosis with AI.
BoneScan X helped us reduce fracture detection time dramatically. It’s now part of our everyday triage workflow.

Dr. Aarav Mehta
Orthopedic Surgeon, CarePlus Hospital
Even without a radiologist on site, we can now confidently diagnose and treat patients faster using AI overlays.

Dr. Neha Kaur
Medical Officer, Rural Outreach Clinic
The Grad-CAM heatmaps make the AI’s prediction explainable — it’s like a second set of eyes for our team.

Dr. Karan Jha
Radiologist, DiagnosticNow Lab
Support from the BoneScan X team was excellent — integration was quick and their onboarding made it easy for our staff to adapt.

Priya Sen
Administrator, Phoenix Health Center
FAQs
We’ve Got the Answers You’re Looking For
Quick answers to your AI automation questions.
How can BoneScan X help my clinic or hospital?
Is BoneScan X difficult to set up in my clinic?
Who can benefit from using BoneScan X?
Do I need technical skills to use BoneScan X?
What kind of support do you offer?
Let BoneScan X Assist You — Fast, Accurate, and Explainable Fracture Detection
Book a free call and discover how our AI can help your clinic diagnose better and faster.
© copyright 2026 Vessel Vision pvt. ltd.







